Помощь при остром инфаркте миокарда
Эксперты отмечают, что снижение неблагоприятных исходов при остром инфаркте миокарда в последние годы связано с увеличением числа сосудистых центров и профилактической работой среди населения. Наша больница – один из центров, где оказывается высокотехнологичная экстренная помощь пациентам с острым инфарктом миокарда. При своевременном обращении пациента в службу скорой помощи малоинвазивные рентгеноэндоваскулярные вмешательства позволяют оказывать помощь максимально быстро.
Пациент К, 66 лет, поступил в отделение кардиореанимации с диагнозом: инфаркт миокарда с подъемом сегмента ST. Мужчина длительное время страдал артериальной гипертензией с максимальными цифрами АД 200/100 мм рт. ст., гипотензивные препараты не принимал, не обследовался. В течение нескольких лет беспокоило жжение за грудиной при физической нагрузке. В день госпитализации возникла резкая слабость, холодный пот, давящие боли в груди — вызвал «скорую помощь».
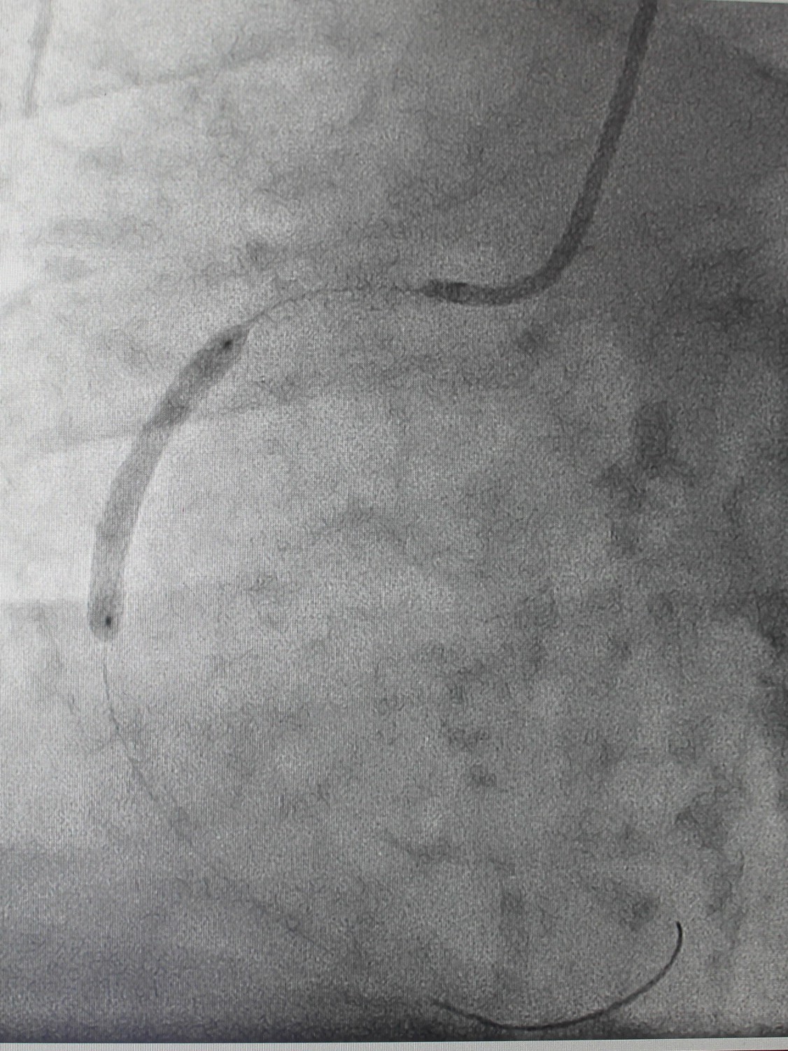
По экстренным показаниям проведена коронароангиография, выявлено стенозирующее многососудистое поражение: стеноз (сужение) передней межжелудочковой ветви левой коронарной артерии 80% в проксимальной трети, стеноз огибающей ветви 75% в дистальной трети (при том, что существенным рассматривают сужение артерии > 50%), тромботическая окклюзия правой коронарной артерии (в проксимальной трети). Рентгенхирурги выполнили тромбэкстракцию из правой коронарной артерии, баллонную ангиопластику со стентированием правой коронарной артерии (2 стента с лекарственным покрытием). Операция продолжалась около часа, после чего пациент продолжил лечение под наблюдением врачей отделения кардиореанимации; через двое суток был переведен в отделение кардиологии для дальнейшего лечения.
Занятия в Школе для пациентов с ишемической болезнью сердца «ПОМОЩЬ СЕРДЦУ», которые проводят кардиологи ГКБ №52 — наш вклад в информирование населения о проблеме заболеваний сердца и сосудов. Приглашаем на очередное занятие школы 31 января 2017 в 15:00 в 5 корпусе, минус первый этаж, лекционная аудитория.
![]() |
||
| Окклюзия правой коронарной артерии, кровоток отсутствует | Аспирационным катетером выполнена механическая тромбэкстракция |
Получено большое количество свежих сгустков |
| Обнаружены участки стенозирования артерии | Установлены 2 стента, стенты раскрыты | На контрольной ангиограмме: коронарный кровоток восстановлен, раскрытие стентов полное, позиционирование адекватное |
