Клинический случай успешного стентирования почечного трансплантата
Пациент Ш, 50 лет обратился в ГКБ 52 в связи с дисфункцией трансплантата почечной артерии.
C 2019 года у пациента была выявлена терминальная хроническая болезнь почки, по поводу которой он получал заместительную почечную терапию. В апреле 2024 пациенту была выполнена трансплантация почки. В дальнейшем у пациента развилась дисфункция трансплантата почки в связи появлением 90% стеноза почечной артерии, отмечалось нарастание уровня креатинина и артериального давления.
Пациент был госпитализирован в отделение трансплантологии органов одного из ведущих учреждений г. Москвы, в котором в условиях отделения РХМДиЛ были предприняты многочисленные попытки стентирования артерии почечного трансплантата. Все попытки были безуспешны в связи со сложной анатомией поражения.
В дальнейшем пациент обратился за медицинской помощью в ГКБ № 52 ДЗМ. Пациент был обследован в условиях стационара в отделении хирургии № 2, которое возглавляет М. Ю. Богодаров. Тактика хирургического лечения была согласована с заведующим отделением РХМДиЛ Д. В. Фецтер, после чего пациент был подан в рентгеноперационную.
Операцию пациенту проводил Д. В. Фетцер под местной анестезией доступом через правую плечевую артерию. На ангиограммах стеноз в проксимальной трети почечной артерии был визуализирован и начата операция (рис. 1).

За место стеноза почечной артери был проведен коронарный проводник, на котором к месту стенозирования был доставлен баллонный катетер и выполнена предилатация стеноза.
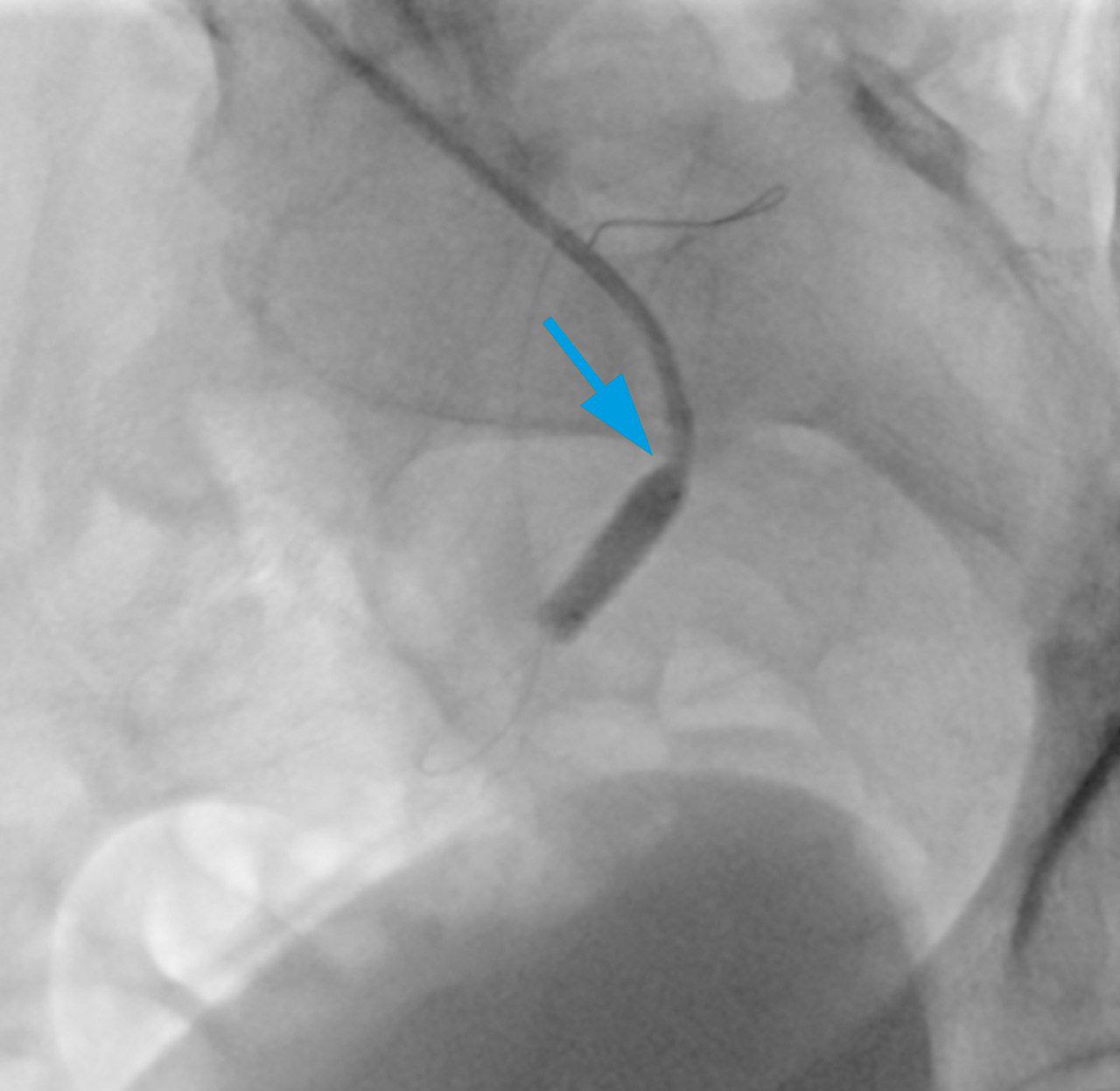
Однако с заведением стента в место стеноза возникли сложности. С целью их разрешения была использована техника с глубокой интубацией почечной артерии. Это позволило успешно доставить и имплантировать стент в почечную артерию трансплантата (рис. 2).

На финальных анигограммах был зафиксирован успешный результат стентирования артерии почечного трансплантата (рис. 3).

Использование плечевого доступа позволило уже через 1 час после операции активизировать пациента и поднять его с постели, а на следующий день пациент был успешно выписан из клиники под наблюдение нефролога. Дальнейшее наблюдение за пациентом показало, что операция позволила добиться хорошего клинического результата со снижением креатинина и нормализацией артериального давления.
Комментарий заведующим отделением РХМДиЛ Д. В. Фетцер по поводу данного клинического случая: «В своей рутинной работе мы довольно часто встречаемся со сложными пациентами, которым по тем или иным причинам не удалось помочь в сторонних лечебных учреждениях. И это не только пациенты с трансплантированными почками или поражением артериовенозных фистул, по которым у нас накоплен один из самых больших опытов в стране. Наша команда с удовольствием также берется за решение самых сложных случаев у пациентов с коронарной патологией благодаря отличному инструментальному и техническому оснащения отделения. Наши двери всегда открыты для всех профильных пациентов».

