Врачи 52-й больницы вернули к жизни пациентку после остановки сердца с применением современных технологий
Пациентка А., 48 лет, поступила в отделение кардиореанимации 52-й городской клинической больницы в связи с дыхательной недостаточностью. Предъявляла жалобы на слабость, кашель и одышку, которые нарастали в течение последних 3 суток на фоне повышения температуры тела до 38,6°С, также женщину беспокоили периодически возникающие боли за грудиной с ощущением холода. Доставлена в приемное отделение стационара бригадой скорой медицинской помощи с направительным диагнозом пневмония.
Обращали на себя внимание прогрессирующее снижение толерантности к физическим нагрузкам и эпизодические давящие, жгучие боли за грудиной. В результате проведенного обследования по данным ЭКГ выявлены ишемические изменения миокарда, по результатам КТ — признаки отека легких. Диагноз пневмонии не подтвердился. Проведена диагностика на предмет острой коронарной патологии: по результатам Эхо-КГ выявлено снижение общей систолической функции миокарда левого желудочка с нарушением его локальной сократимости. По лабораторным данным выявлено повышение уровня кардиоспецифических ферментов, указывающих на повреждение миокарда. После дообследования было принято решение о проведении экстренной коронароангиографии (КАГ).
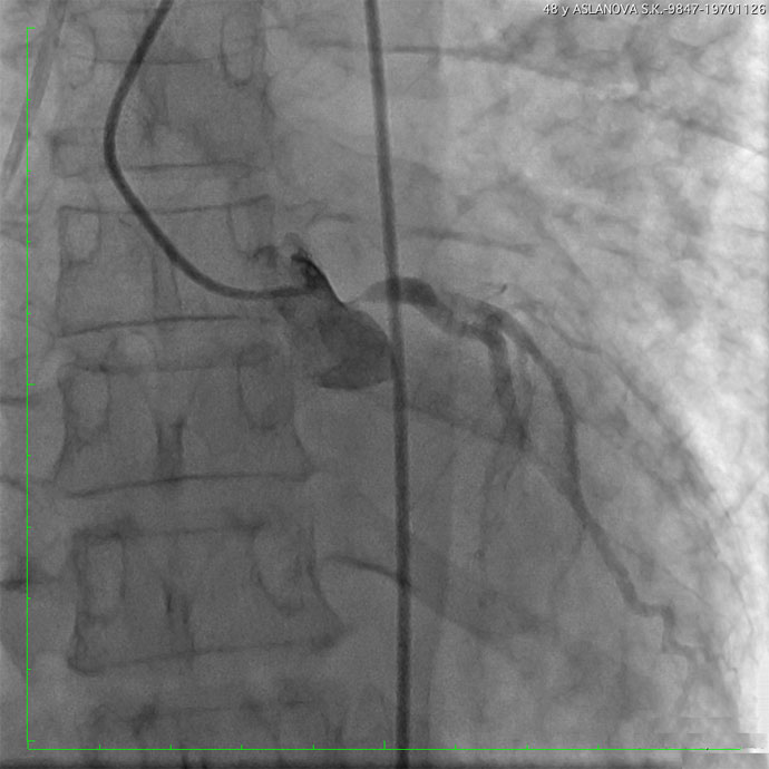
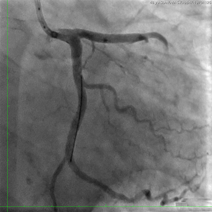
В рентгеноперационной по результатам КАГ выявлен критический стеноз (сужение) ствола левой коронарной артерии и устья правой коронарной артерии — иными словами, практически отсутствовало кровоснабжение большого объема сердечной мышцы. Во время попытки реваскуляризации (восстановления кровотока) правой коронарной артерии у больной произошла остановка сердечной деятельности. Несмотря на проведение расширенного комплекса реанимационных мероприятий, сердечная деятельность не восстановилась, в связи с чем по жизненным показаниям для экстракорпорального поддержания жизни принято решение о применении механической поддержки кровообращения методом экстракорпоральной мембранной оксигенации (ЭКМО). Была проведена имплантация системы бивентрикулярного обхода желудочков сердца (Cardiohelp)) для протезирования сердечной функции. Аппарат ЭКМО выполнял функцию искусственного сердца и позволил прекратить непрямой массаж, несмотря на отсутствие сокращений миокарда. На фоне процедуры вено-артериальной ЭКМО выполнена баллонная ангиопластика со стентированием коронарных артерий.

Р. Т. Исхаков, врач анестезиолог-реаниматолог ОРИТ №3:
— У больной выявлено сочетание поражение двух основных артерий сердца. Реваскуляризация миокарда у таких пациентов сопряжена с высоким риском развития фатальных осложнений. У нашей пациентки произошла рефрактерная (устойчивая к терапии) остановка кровообращения. Реанимационные мероприятия продолжались больше 20 минут, пока специалисты центра ЭКМО устанавливали систему экстракорпорального поддержания жизни. Система ЭКМО обеспечивала ток крови, минуя сердце, и насыщение ее кислородом, на этом фоне было выполнено стентирование устья правой коронарной артерии — установлено 2 стента, и ствола левой коронарной артерии — 1 стент, в результате кровоток по обеим артериям был восстановлен.


После подключения к ЭКМО ведение пациентки продолжалось в условиях лечебной гипотермии. К концу первых суток в ОРИТ отмечена положительная динамика в виде улучшения сократительной способности миокарда. В дальнейшем после восстановления этой функции и полной нормализации уровня сознания пациентка была успешно отлучена от механической поддержки кровообращения (ЭКМО), а затем постепенно переведена на самостоятельное дыхание. На фоне проводимой терапии состояние больной стабилизировалось, что позволило продолжить лечение в условиях кардиологического отделения.
М. В. Кецкало, руководитель Центра ЭКМО ГБУЗ «ГКБ № 52 ДЗМ»:
— В нашем Центре есть положительный опыт использования вено-артериальной ЭКМО при развитии рефрактерного кардиогенного шока и остановке кровообращения на раннем госпитальном этапе у трех больных с острым инфарктом миокарда. Применение ЭКМО не только позволило пациентам пережить критическое состояние, но и выполнить им необходимую хирургическую коррекцию. Двум больным выполнена реваскуляризация пораженных коронарных артерий с последующим восстановительным лечением и выпиской из стационара. Одному пациенту система ЭКМО была установлена в другом лечебном учреждении ДЗМ с последующим переводом в НМИЦ ТИО им. академика В. И. Шумакова, где была выполнена ортотопическая трансплантация сердца.
Установка системы ЭКМО может быть выполнена практически в любых условиях: в операционной и отделении реанимации. Надо отметить, что многие лечебные учреждения города располагают необходимой для проведения ЭКМО аппаратурой. Это позволяет максимально сократить сроки критического состояния и приблизить к пациенту с коронарной патологией современную патогенетическую терапию, включая методы интервенционной кардиологии.