Помощь пациентам с наследственным поликистозом почек: улучшение качества жизни и подготовка к трансплантации почки
Поликистоз почек — порок эмбрионального развития почечных канальцев, характеризующийся образованием множественных мелких кист в паренхиме, которые со временем нарушают работу почек. В большинстве случаев это заболевание наследуется по аутосомно-доминантному типу. Среди получающих заместительную почечную терапию (в программах диализа и трансплантации) доля пациентов с аутосомно — доминантной поликистозной болезнью почек на сегодняшний день составляет до 10%. Кистозная дегенерация приводит к увеличению общего объема почек и сопровождается неизбежным злокачественным снижением функции почек.
Качество жизни пациентов страдает
Симптомы, связанные с поликистозом, резко ухудшают качество жизни пациентов. Выраженные боли в животе, связанные с ростом кист и сдавлением нервных окончаний в паренхиме почек, часто не удается контролировать даже применением наркотических анальгетиков. Нарушения функции желудочно-кишечного тракта проявляются увеличением окружности живота, ранним чувством насыщения, гастроэзофагеальным рефлюксом, дисфагией, вздутием живота, запорами, ишемическим колитом, кахексией, развитием язв желудка и 12-перстной кишки. Страдает функция внешнего дыхания из-за сдавления диафрагмы, как следствие, снижается жизненная ёмкость лёгких с развитием хронической гипоксии. Развивается стойкое, не поддающееся медикаментозной коррекции повышение артериального давления. Кисты могут инфицироваться с развитием синдрома системной воспалительной реакции вплоть до сепсиса. Высок риск разрыва кист при травмах, падениях, случается и спонтанный разрыв кист.
В каких случаях необходима нефрэктомия?
Консервативное лечение таких пациентов — только симптоматическое, к сожалению. Цель его — замедление прогрессирования почечной недостаточности, коррекция осложнений хронической болезни почек, таких как анемия и минерально-костные нарушения. В терминальных стадиях, при развитии преддиализной и диализпотребной почечной недостаточности ставится вопрос о проведении диализа и в дальнейшем — трансплантации почки. Так как пациенты после трансплантации почки должны принимать постоянную иммуносупрессивную терапию, в т.ч. массивную в первые 6 месяцев после операции, риск развития инфекционных осложнений у пациентов с поликистозом очень высокий. Кроме того, поликистозные почки из-за своих больших размеров могут мешать успешной трансплантации: при подготовке к трансплантации почки у таких пациентов наблюдается отсутствие свободного места для трансплантата в полости малого таза. Поэтому у таких пациентов целесообразно своевременно выполнять нефрэктомию (удаление обеих пораженных болезнью почек).
Зачем мы проводим первым этапом эмболизацию почечных артерий перед нефрэктомией?
Основным методом радикального лечения у пациентов с симптоматическим течением наследственного поликистоза почек и в рамках предтрансплантационной подготовки в отсутствии свободного места для гетеротопической пересадки донорской почки является билатеральная нефрэктомия лапароскопическим, открытым или комбинированным доступами. Такое лечение сопряжено с развитием большого количества осложнений: массивные кровотечения, требующие проведение гемотрансфузий, которые приводят к выработке аутоантител с последующими сложностями при подборе донора для пациента, тромбоз артерио-венозной фистулы, связанный с перепадами давления во время длительной операции, гиперкалиемия, которая возникает в связи с большим объемом хирургической травмы, послеоперационные грыжи, раневая инфекция, перфорация кишечника с развитием перитонита, удлинение хирургического койко-дня с длительным периодом послеоперационной реабилитации пациентов. Также есть ряд условно «тяжелых» коморбидных пациентов для которых выполнение столь агрессивного хирургического вмешательства может стать летальным.
Трансартериальная эмболизация почек — успешный и минимально инвазивный вариант для облегчения симптомов, вызванных выраженных увеличением размера почек, для уменьшения объема почек в рамках предтрансплантационной подготовки при отсутствии достаточного места для донорской почки, а также с целью предотвращения различных послеоперационных осложнений. Несмотря на то, что в ГКБ № 52 мы выполняем билатеральную нефрэктомию лапароскопически, предварительно выполненная ТАЭ почки позволяет уменьшить интраоперационную кровопотерю, сократить продолжительность хирургического вмешательства, выполнить его в более благоприятных условиях.
Клинический случай
В отделение нефрологии № 1 поступила пациентка Ш., 70 лет, с диагнозом «Терминальная хроническая почечная недостаточность в исходе поликистозной болезни почек и печени». В возрасте 42 года при диспансеризации выявлен поликистоз почек и печени. Лечилась симптоматически под наблюдением нефрологов КДНО ГКБ № 52. В течение года проходит лечение гемодиализом. Ухудшение состояния в течение 2-х недель, когда отметила повышение температуры до 38,3°С. Госпитализирована по каналу скорой помощи. При обследовании выявлена гиперкалиемия 6,1 ммоль/л, мочевина 25 ммоль/л, креатинин 524 мкмоль/л, что потребовало госпитализации пациентки в отделение реанимации для нефрологических пациентов. При дообследовании выявлена лейкоцитурия, повышение маркеров воспаления (С-реактивный белок до 7мг/л, лейкоцитоз до 9,2тыс.). На МРТ — геморрагические кисты обеих почек и печени, тотальное заполнение геморрагическим содержимым кисты, исходящей из паренхимы печени. Учитывая признаки инфицирования кист почки, проводилась консервативная терапия — антибактериальная, гипотензивная, гастропротективная, коррекция анемии. Пациентка консультирована урологом по поводу осложненных кист почки и печени, рекомендована билатеральная нефрэктомия с эмболизацией.
Первым этапом выполнена селективная эмболизация почечных артерий
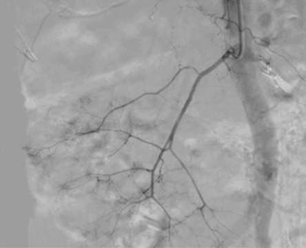
Через правую лучевую артерию последовательно селективно катетеризированы правая и левая почечные артерии. Выполнена ангиография, при которой визуализированы растянутые и деформированные сегментарные почечные артерии с периферическими ветвями, окружающими кисты, что является характерным рентгенологическим признаком наследственной поликистозной болезни почек.
![]() |
Почечная артерия, заполненная контрастным веществом, до введения микроэмболов. |
Последовательно выполнена селективная тотальная эмболизация почечных артерий с обеих сторон введением микросфер Embosphere 700-900 мкм и Embozene 900 мкм. На контрольной ангиографии ветви почечной артерии не контрастируются, в почечной артерии эффект «стоп-контраст» — эмболизация эффективная.
![]() |
Почечная артерия в момент введения эмболов — сосудистый рисунок нарушен, в дальнейшем кровоток в артерии будет остановлен эмболами в просвете сосуда. |
Хирург: Молокопой Сергей Николаевич
Операционная медсестра: Сорокина Оксана Викторовна
Анестезиолог: Меньшенин Андрей Николаевич
Анестезиологический медбрат: Ибрагимов Марат Рифатович
Второй этап — нефрэктомия
Через 8 суток пациентка планово госпитализирована для выполнения лапароскопической нефрэктомии. Во время операции обратило на себя внимание полное отсутствие кровотока по почечным артериям, что значительно облегчило выполнение хирургического вмешательства, сохраняя отличную визуализацию операционного поля.
![]() |
Просвет почечной артерии с тугим заполнением микросферами-эмболами. |
Хирург: Трушкин Руслан Николаевич
Ассистент № 1: Исаев Теймур Карибович
Ассистент № 2: Медведев Павел Евгеньевич.
Послеоперационный период протекал без осложнений. Пациентка в удовлетворительном состоянии выписана под наблюдение урологом, нефрологом по месту жительства. Поставлена в лист ожидания трансплантации почки.
Эмболизация почечных артерий — эффективный, универсальный и малоинвазивный метод при многих урологических состояниях, как острых, так и хронических. В отделении урологии ГКБ № 52 он применяется для улучшения предоперационного ведения опухолей почки перед нефрэктомией, достижения гемостаза в случаях кровоизлияния в результате травмы или опухолей, таких как ангиомиолипомы, лечения осложнений трансплантации почки и биопсии, таких как артериовенозные фистулы и псевдоаневризмы, улучшения симптомов у пациентов с артериовенозных мальформаций и некоторых хронических паренхиматозных заболеваний почек, а также для лечения аневризм почечных артерий. В зависимости от показаний и характера поражения используются различные эмболические материалы и катетеры.


