Успешная процедура реканализации, баллонной ангиопластики и стентирования наружной подвздошной артерии (НПА) у пациента с ранее трансплантированной почкой в НПА
Сосудистые осложнения после трансплантации почки могут появляться в любое время в посттрансплантационном периоде. Наиболее часто происходит развитие стеноза (сужения) артерии трансплантата/анастомоза, что вызывает гипоперфузию (пониженное кровоснабжение) пересаженной почки, артериальную гипертензию, дисфункцию трансплантата и в итоге приводит к потере функции трансплантата.
Малоинвазивная, безопасная и эффективная процедура для восстановления гемодинамики пересаженной почки и нормализации ее функции — эндоваскулярная баллонная ангиопластика и стентирование поражения артерии трансплантата почки. Этой проблемой эндоваскулярные хирурги ГКБ № 52 занимаются на протяжении многих лет и успешно выполняют подобные операции. Однако, в этот раз почечный трансплантат страдал из-за особой причины, и мы хотим поделиться этим уникальным случаем.
Клинический случай
У пациента П., 66 лет, в возрасте 16 лет диагностирована артериальная гипертензия с максимальным повышением АД до 220/110 мм рт. ст. При обследовании выявлен поликистоз почек. С 40 лет отмечает частые атаки пиелонефрита. В феврале 2011 г. пациенту был установлен диагноз «Терминальная хроническая почечная недостаточность», начато лечение перитонеальным диализом. В июне 2011 г. выполнена билатеральная нефрэктомия (удаление обеих почек). В связи с дислокацией (смещением и нарушением функции) ПД-катетера был переведен на заместительную почечную терапию гемодиализом.
В ноябре 2011 г. была выполнена аллотрансплантация трупной почки. Получена немедленная функция трансплантата почки, проводилась иммуносупрессивная терапия для предупреждения отторжения почечного трансплантата. В дальнейшем функция трансплантата сохранялась стабильной (креатинин 110-130 мкмоль/л) на протяжении ряда лет.
С июля 2023 г. пациент отмечает отечность голеней, эпизодически чувство нехватки воздуха преимущественно в ночное время, повышение артериального давления (на 3-х компонентной терапии АД на уровне 140-150/80 мм рт. ст.).
В августе 2023 г. зарегистрирован креатинин на уровне 180 мкмоль/л, мочевина 14,9 ммоль/л, суточная протеинурия 0,18 г. В связи с прогрессирующей дисфункцией трансплантата с целью коррекции иммуносупрессивной терапии госпитализирован в 1 нефрологическое отделение (патологии трансплантированной почки) ГКБ № 52.
Выполнено УЗИ трансплантата почки: учитывая результаты УЗИ и клинические проявления, заподозрен стеноз почечной или подвздошной артерии. По данным МСКТ c в/в контрастированием выявлено критическое поражение подвздошной артерии на фоне атеросклероза. Артерия трансплантированной почки без признаков стеноза и аневризм.
Учитывая выявленное поражение на фоне атеросклероза, жалобы больного на боли в правой ноге при ходьбе, выполнено УЗДГ артерий нижних конечностей, на котором было выявлен выраженный стеноз артерий нижних конечностей с гемодинамически значимым стенозированием правых общей и поверхностной бедренных артерий с формированием дефицита кровотока по подколенной артерии и артериям голени справа. При этом стоит отметить, что пальпаторно пульсация на правой бедренной артерии не определялась.
С учетом критического стеноза наружной подвздошной артерии с развитием дисфункции трансплантата, консилиум врачей принял решение о выполнении ангиографии данного сегмента и восстановления кровотока в условиях рентгеноперационной.
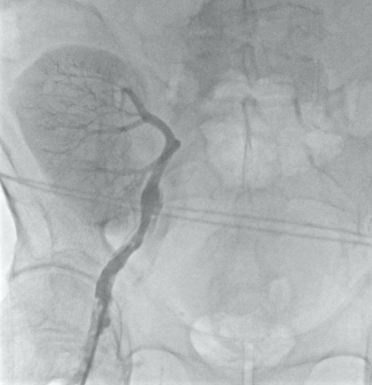
Под местной анестезией пунктирована правая бедренная артерия, установлен интродьюсер. Выполнена ретроградная ангиография правой бедренной артерии: выявлена хроническая окклюзия наружной подвздошной артерии, ниже окклюзии была визуализирована артерия транспланта почки (рис. 1).

Рисунок 1. Ретроградная ангиография бедренной артерии справа с контрастированием почечного трансплантата.
Выявлена окклюзия наружной подвздошной артерии.
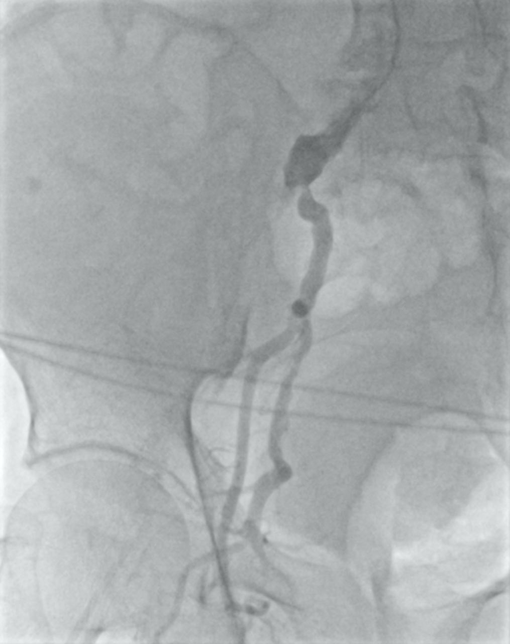
Под местной анестезией выполнена пункция правой плечевой артерии, установлен интродьюсер, проведен диагностический катетер в правую общую подвздошную артерию (ОПА), выполнено антеградное контрастирование ОПА: окклюзия наружной подвздошной артерии от устья, дополнительно выявлен стеноз устья ВПА 90% (рис. 2).

Рисунок 2. Антеградная ангиография доступом через плечевую артерию. Выявлен критический стеноз внутренней подзвдошной артерии. Кровоток по наружной артерии не определяется от устья.
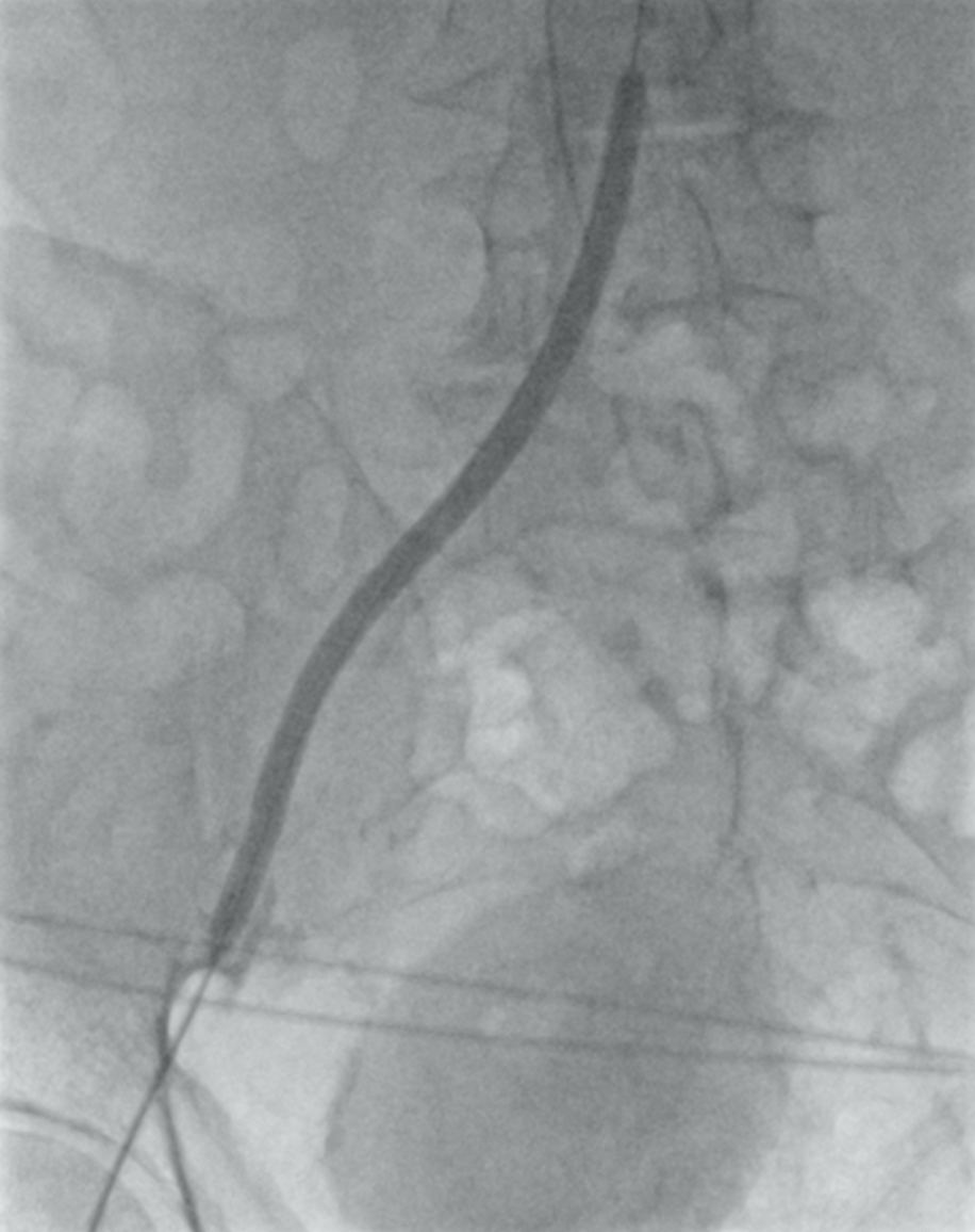
Хирург принял решение о выполнении эндоваскулярной реканализации окклюзированного сегмента наружной подвздошной артерии. При поддержке диагностического катетера выполнена ретроградная реканализация НПА, проводник проведен через окклюзию в инфраренальный отдел аорты. Выполнена предилатация поражения НПА справа баллонным катетером, был получен антеградный кровоток по наружной подздошной артерии (рис. 3).

Рисунок 3. Предилатация поражения НПА баллонным катетером.
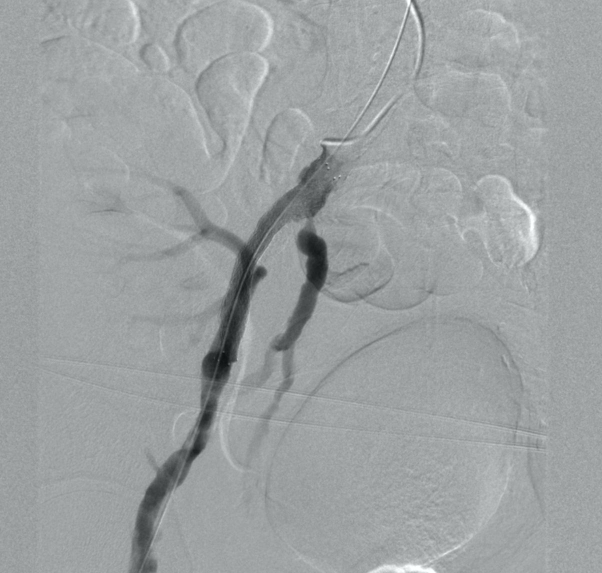
Следующим этапом в область поражения НПА был заведен и имплантирован периферический стент. Выполнена постдилатация в стенте баллонным катетером 10,0х60 мм. На контрольной ангиограмме НПА, БА полностью проходима, отмечается хорошее антеградное заполнение трансплантата почки (рис. 4).

Рисунок 4. Контрольная ангиография после имплантации стента.
При контрольном УЗИ сосудов трансплантата (в сравнении с дооперационным исследованием) наблюдается положительная динамика: увеличились скоростные показатели внутрипочечного кровотока, индексы резистентности (RI) были в пределах нормы.
На фоне проводимой терапии клиническое состояние больного с положительной динамикой, функция трансплантата восстановилась, при этом креатинин снизился до 111 мкмоль/л.
Благодаря вовремя проведенной реканализации, баллонной ангиопластике со стентированием наружной подвздошной артерии удалось устранить окклюзию артерии и тем самым предотвратить гибель трансплантата почки. Опасность окклюзии подвздошной артерии, к которой «подшит» трансплантат почки, состоит еще и в том, что гипоперфузия трансплантата почки приводит к активации ренин-ангиотензиновой системы, задержке жидкости в организме, возникновению периферических отеков, сердечно-легочной недостаточности, возможному отеку легких. По этой причине восстановление адекватного кровотока в трансплантате в результате коррекции окклюзии подвздошной артерии являлось жизненно необходимой процедурой, помогающей в данной ситуации избавить пациента от фатальных осложнений и избежать повторной пересадки почки.
Операционная бригада:
Хирург: Фетцер Денис Витальевич (к. м. н., зав. отделением РХМДиЛ)
Операционный медбрат: Абдуллин Рафаэль Ряшитович
Анестезиолог: Битиев Сармат Михайлович
Анестезиологическая медсестра: Кибарина Оксана Михайловна