Редкий клинический случай тонкокишечной непроходимости у молодого пациента
В приёмное отделение ГБУЗ «МКНИЦ Больница 52» доставлен пациент 22 лет с клиникой острой кишечной непроходимости. Молодой человек предъявлял жалобы на резкие приступообразные боли в животе, вздутие, тошноту, многократную рвоту и задержку стула.
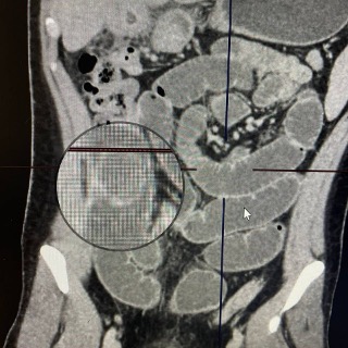
При первичном обследовании стандартные причины кишечной непроходимости были исключены. Для верификации диагноза была экстренно выполнена компьютерная томография органов брюшной полости. Результаты КТ выявили редчайшую причину обструкции: в просвете тонкой кишки был обнаружен крупный конкремент (25-30 мм), полностью обтурирующий просвет кишечника.
Из данных анамнеза известно, что за шесть месяцев до настоящей госпитализации у пациента был диагностирован острый калькулезный холецистит. При УЗИ-обследовании были выявлены два крупных конкремента в желчном пузыре. После купирования воспаления была рекомендована плановая холецистэктомия, которую пациент отказался выполнять. Проведенное обследование позволило установить, что на фоне хронического воспаления сформировалось пузырно-тонкокишечное соустье (холецисто-дуоденальный свищ), через которое конкременты мигрировали в просвет тонкой кишки, вызвав развитие механической кишечной непроходимости — желчного илеуса. В экстренном порядке была выполнена диагностическая лапароскопия.
Во время операции причина непроходимости подтвердилась: обнаружены два конкремента в просвете тонкой кишки. Через небольшое лапаротомное отверстие извлечена поражённая петля, выполнена энтеротомия и оба конкремента успешно удалены. Причину непроходимости удалось полностью устранить.
Этот случай представляет значительный интерес в связи с казуистической редкостью патологии— желчнокаменной кишечной непроходимости (gallstone ileus) — у пациентов молодого возраста. Согласно мировой статистике, данное осложнение желчнокаменной болезни встречается лишь в 1-4% случаев и преимущественно у пациентов старше 60-70 лет.
Клинический случай убедительно демонстрирует необходимость своевременного планового хирургического вмешательства при симптомной ЖКБ, что позволяет снизить риск крайне неблагоприятных и жизнеугрожающих последствий заболевания. Также стоит отметить, что особое значение приобретает своевременное оперативное вмешательство, позволяющее предотвратить тяжёлые осложнения и восстановить проходимость кишечника.
Подобные случаи крайне редки, и их успешная диагностика и лечение требуют участия мультидисциплинарной команды, высокого профессионализма врачей и технических возможностей современных клиник.
Операцию провели: врач-хирург Локтев Владимир Васильевич
врач хирург-онколог-колопроктолог Яралиев Вагиф Максимович
Операционыея сестры: Логанихина Юлия Борисовна, Корпачева Людмила Юрьевна
Врач анестезиолог-реаниматолог: Сон Алексей Александрович
Медицинская сестра-анестезист: Василенкова Наталья Владимировна


Компьютерная томография пациента Извлеченные камни