Рентгенхирурги возвращают спортсменов в строй
В январе этого года в ГКБ № 52 поступил молодой мужчина 49 лет, спортсмен, который во время игры в хоккей почувствовал легкое недомогание и небольшую боль в груди, которая прошла самостоятельно и довольно быстро. При попытке вернуться в игру боль возобновилась, и мужчина решил обратиться в больницу для обследования.
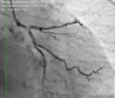
В рамках обследования ему была выполнена коронарография, на которой рентгенхирурги увидели массивную кальцинированную бляшку в терминальном отделе ствола левой коронарной артерии, перекрывавшую просвет артерии на 95%.
![]() Исходная коронарограмма |
Такое поражение было чревато обширным инфарктом с высокой степенью летальности, поскольку левая коронарная артерия снабжает кровью более 70% миокарда. Еще 10 лет назад такое поражение являлось строгим показанием к аорто-коронарному шунтированию. Однако надо понимать, что средняя продолжительность функционирования венозных шунтов 15 лет, а пациент достаточно молод. |
В настоящее время такое поражение лечится эндоваскулярно, однако техника стентирования ствола левой коронарной артерии требует от хирурга наличия опыта стентирования бифуркаций, точной стратегии и мастерства, т.к. в момент стентирования ствола кровоток в левой коронарной артерии полностью перекрывается, и малейшее промедление может закончится летальным исходом.
Комментирует заведующий отделением рентгенхирургических методов диагностики и лечения А. Е. Ванюков:
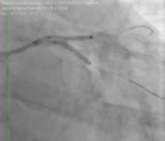
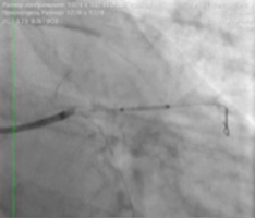
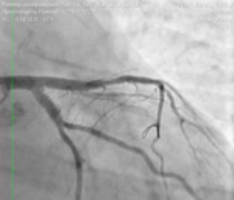
— Мы приняли решение о проведении эндоваскулярной коррекции этого поражения. С помощью двух баллоных катетеров диаметром 2,5 мм была выполнена предварительная дилатация стеноза ствола левой коронарной артерии, устьев огибающей артерии и передней нисходящей артерии по методике «целующихся баллонов». Это одновременное раздувание двух баллонов на бифуркации — успешно применяемое нами прогрессивное техническое новшество. Затем выполнено стентирование по методу culotte с выходом в переднюю нисходящую и огибающую артерии. На контрольной ангиограмме был выявлен критический стеноз в проксимальной трети передней нисходящей артерии, который ранее был маскирован основным поражением. Был стентирован участок в проксимальной трети. На контрольной ангиограмме кровоток в левой коронарной артерии по шкале TIMI — III, что означает оптимальный результат стентирования. Зон диссекций и резидуальных стенозов нет.
![]() Формирование бифуркации по методике «целующихся баллонов» |
![]() Имплантация стента в проксимальной трети передней нисходящей артерии |
![]() Ангиографический результат коррекции |
Через 2 дня пациент был выписан, боли не рецидивировали. А через неделю сообщил, что вернулся к занятиям спортом.



