Из практики врачей отделения эндоскопии. Удаление липомы слепой кишки больших размеров у пациента на гемодиализе
Учитывая наличие в структуре 52-й больницы самой крупной в Москве нефрологической службы, значительная часть хирургической работы ведется с пациентами с различной патологией почек. Врачи-эндоскописты ГКБ № 52 имеют большой опыт удаления эпителиальных и неэпителиальных образований желудочно-кишечного тракта любых размеров и локализации, в том числе и у пациентов нефрологического профиля с терминальной стадией хронической почечной недостаточности, получающих лечение гемодиализом (с гепарином). Известно, что риск таких грозных осложнений, как кровотечение на фоне гепарина, после хирургических операций крайне высок.
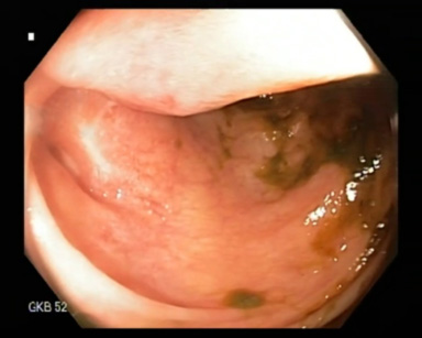
У пациента 69 лет с терминальной стадией хронической почечной недостаточности, анемией (Нb 78 г/л), находящегося на гемодиализе в отделении нефрологии, при колоноскопии выявлено большое подслизистое образование,исходящее из баугиниевой заслонки, размерами 7,0*3,0*2,5 см — предположительно липома. После комплексного обследования (МРТ брюшной полости, УЗИ, коагулограмма и др.) было решено удалить образование эндоскопически внутрипросветно. Но случай был неординарный: пациент получал гепарин с целью профилактики тромбообразования на диализе, поэтому с целью профилактики кровотечения в ходе операции и после нее была проведена подготовка по специально разработанной для таких пациентов методике. Операция выполнялась с учетом нарушенной трофики тканей, используя лигатурные петли Олимпус. Произведена апикальная резекция липомы по разработанной в ГНЦК им. А. Н. Рыжих методике — бескровно и без осложнений.

После операции у пациента стала нормализоваться формула крови, и через 3 месяца при контрольной колоноскопии на месте липомы — линейный рубец; гемоглобин поднялся до 113 г/л, перестали мучить запоры.

