Из практики врачей отделения эндоскопии. Удаление ворсинчатой опухоли сигмовидной кишки большого размера
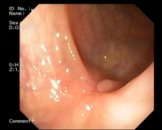
67-летняя пациентка поступила в ГКБ № 52 с жалобами на наличие темной крови в стуле и запоры. Женщина была направлена на колоноскопию, где выявлено гигантских размеров образование в сигмовидной кишке 7*5*6 см дольчатого строения, стелющееся по стенкам кишки и почти полностью перекрывающее ее просвет. Надо отметить, что за 3 месяца до госпитализации пациентка обращалась в поликлинику, где при колоноскопии был впервые обнаружен полип размерами 3*3 м на широком основании — взята биопсия: виллезная аденома. В анализах крови — признаки анемии (Нв 96 г/л).
Тактика в отношении полипов толстой кишки, как правило, однозначная — удаление с последующим гистологическим исследованием.В этой ситуации размеры образования и быстрый рост опухоли,наличие эпизодов кровотечения требовали срочной операции. Принято решение выполнить эндоскопическую фрагментарную резекцию с использованием Single use ligating devise HX-400U-30 Olympus (лигатурная резекция).
Заведующая эндоскопическим отделением Стручкова Елена Юрьевна, врач-эндоскопист Могильницкий Игорь Евгеньевич полностью удалили образование двумя большими фрагментами малоинвазивным, бескровным методом, извлекли опухоль с использованием специального сачка и отправили на гистологическое исследование. Госпитализация заняла 2 дня. При гистологическом исследовании установлено, что образование доброкачественное с дисплазией 2-3 ст.

Пациентка наблюдается по месту жительства, разрешились запоры, нормализовалась формула крови. При контрольной колоноскопии через 3 мес. — линейный рубец, не деформирующий стенку.
![]() ![]() | |
| Рис. 1. При рентген-контрастном исследовании видна непроходимость донорского мочеточника | Рис. 2. Восстановление проходимости мочеточника |

