Настоящая борьба за жизнь
Пациент К., 47 лет, поступил в отделение кардиореанимации с острым инфарктом миокарда. В момент поступления у пациента развилась фибрилляция желудочков с остановкой кровообращения. Начаты реанимационные мероприятия. Многочисленные попытки дефибрилляции, несмотря на непрямой массаж сердца, искусственную вентиляцию легких, вводимые препараты были неэффективны. По кардиомонитору регистрировался идиовентрикулярный ритм с переходом в асистолию — остановка сердца. На фоне проведения непрямого массажа сердца принято решение начать процедуру экстракорпоральной мембранной оксигенации (ЭКМО), чтобы поддержать гемодинамику и сделать возможным перевод пациента в операционную для реваскуляризации миокарда.

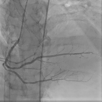
В рентгеноперационной после выполнения коронарографии выявлен тромбоз крупной правой коронарной артерии с полным прекращением кровотока. Рентгенэндоваскулярный хирург произвел реканализацию тромбированного участка с аспирационным удалением тромба и стентированием правой коронарной артерии.
Экстракорпоральная мембранная оксигенация — это способ временного поддержания функции легких и сердца при их изолированном или сочетанном повреждении. При помощи специального оборудования создается искусственное кровообращение, которое полностью заменяет функции как сердца, так и легких, удаляется углекислый газ, кровь обогащается кислородом. Пока идет процедура, имеется возможность лечить основное заболевание, которое привело к развитию осложнений.
После восстановления кровотока по правой коронарной артерии состояние пациента стабилизировалось. Удалось снизить дозы медикаментозной поддержки. В течение 24 часов с целью профилактики постреанимационного отека головного проводилась искусственная гипотермия до 35°С. Через 50 часов после развития фатального осложнения инфаркта миокарда пациент пришел в сознание, был экстубирован. Производительность контура ЭКМО постепенно снижали, на шестые сутки пациент был отключен от системы ЭКМО, еще через день был переведен в отделение кардиологии и в последующем выписан. Перед выпиской отмечал хорошее самочувствие, сократительная способность сердца практически не пострадала. После реабилитации пациент сможет вернуться к обычной жизни.
Анестезиологи-реаниматологи: Арболишвили Г. Н., Стрельцов Ю. В.
Центр ЭКМО: Кецкало М. В., Кальянова Н. Ю.
Рентгенэндоваскулярный хирург: Молокопой С. Н.

